Why Choose Wilkinson Orthodontics?
At Wilkinson Orthodontics, we don’t believe in one-size-fits-all care. Every smile we treat is backed by decades of experience, specialist-led attention, and a commitment to genuine support. Whether you're based in Benowa or Helensvale, our team ensures your journey to a straighter smile is seamless, comfortable, and tailored to your needs. Here's why families across the Gold Coast continue to trust us with their orthodontic care:
Established by Dr Wilkinson
With over 30 years of specialist experience, every patient is seen by a Specialist Orthodontist - not a rotating team.
Two Convenient Locations
Visit us in Benowa or Helensvale, with free parking and on-site x-rays and labs for a seamless experience.
Personalised, Honest Care
No hidden fees. Just tailored treatment plans, interest-free payment options, and genuine, supportive advice.
We Respect Your Time
Our clinics run on time - because your time is just as valuable as your smile.
All Ages Welcome
From kids to adults, we create confident smiles in a warm, family-friendly environment.
Everything You Need Onsite
From OPG and CEPH x-rays to lab work, it’s all in-house - no referrals or extra trips needed.
COSTS
Making Quality Orthodontics Affordable
At Wilkinson Orthodontics, we believe expert care should be accessible. That’s why we offer a range of flexible payment options across our Gold Coast clinics in Benowa and Helensvale. Whether you're exploring clear aligners or braces, we’ll tailor a plan to suit your lifestyle and budget - with no hidden fees.
From interest-free payment plans, our Specialist Orthodontists and team will walk you through everything at your consultation, so you can focus on what matters most: achieving a confident smile.
Pay in
full discount
Interest -
free options
Zero
deposit
Sibling discounts
Meet The Orthodontists
Your trusted Gold Coast orthodontists
With over 50 years of combined specialist experience, our team at Wilkinson Orthodontics is here to guide you every step of the way. You’ll always be treated by a qualified Specialist Orthodontist - not a rotating roster - at either of our clinics on the Gold Coast.
We’re proud to offer patient-first orthodontic care grounded in clinical excellence, collaboration, and a passion for results that last.
Meet The Orthodontists
Dr Lanit Anand
Dr Amarpreet Atwal
Dr. Peter Wilkinson
Dr. JAMES ENGLISH
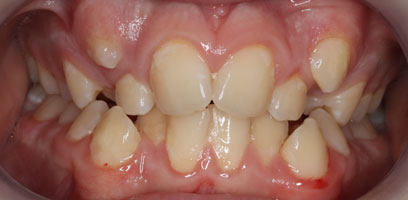
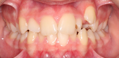
Problems we can solve with expert orthodontics on the Gold Coast
From subtle spacing to more complex bite issues, we’re here to help you take the first step toward a healthier, more confident smile. At Wilkinson Orthodontics, our specialist team uses advanced tools and personalised treatment plans to correct a wide range of orthodontic problems - for patients of all ages across the Gold Coast.
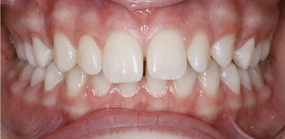
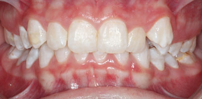
BEFORE & AFTERS
Real smiles, real results on the Gold Coast
There’s nothing more rewarding than seeing a patient’s confidence shine through. Our before and after gallery showcases just a few of the incredible transformations achieved at Wilkinson Orthodontics- with personalised treatment plans tailored to every smile.
Ready to start your smile journey?
Whether you're exploring orthodontics for your child or considering treatment for yourself, we’re here to help. Book your free consultation today with our Gold Coast orthodontic team and take the first step towards a healthier, more confident smile.
Book your free consultation




